Каширские врачи пришли на помощь ветерану Великой Отечественной, получившему тяжелый перелом

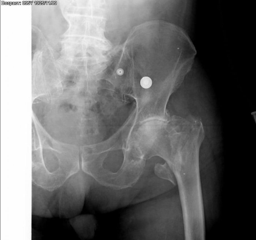
В травматологическое отделение Каширской центральной больницы поступил 95-летний мужчина с травмой тазобедренного сустава, которую он получил в результате падения. Как уточнили в учреждении, у ветерана Великой Отечественной войны был диагностирован чрезвертельный перелом бедра.
«Это тяжелое травматическое повреждение. И считается более благоприятным повреждением по сравнению с переломом шейки бедра, поскольку при этой травме возможно самостоятельное сращение. Тем не менее, такая травма в преклонном возрасте представляет большую опасность даже при хороших перспективах излечения. Поэтому выбор лечебной тактики с учетом состояния и возраста пациента в данном случае важен не меньше, чем при переломах шейки бедра», – рассказал заведующий травматологическим отделением Денис Фомин.
В этот же день пациент был оперирован. Операция прошла успешно. Пациент чувствует себя хорошо и уже идет на поправку.
Популярный комметрий