В Кашире мужчина отрезал пальцы болгаркой и принес их в больницу помещенными в банке

Скорая помощь доставила в приемное отделение Каширской больницы 56-летнего мужчину с двумя оторванными на левой кисти пальцами – безымянным и средним, а также ранами на других пальцах. Выяснилось, что мужчина получил травму в результате неосторожного обращения с болгаркой. Сообщается, что врачи экстренно госпитализировали пациента в травматологическое отделение для проведения реплантации потерянных пальцев. Отрезанные конечности мужчина принес с собой в банке.
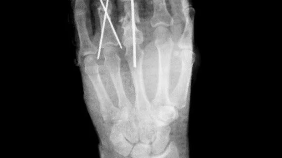
«После хирургической обработки ран мы зафиксировали пальцы в функционально выгодном положении при помощи спиц. Затем восстановили сосуды, сшили вены, артерии, тем самым восстановили функции конечности. Операция прошла успешно и заняла около 2,5 часов», – рассказал заведующий травматологическим отделением Константин Смирнов.
Своевременное вмешательство помогло успешно провести реплантацию пальцев, сохранив пациенту подвижность кисти. Сейчас мужчина чувствует себя хорошо и будет выписан после реабилитации.
Популярный комметрий